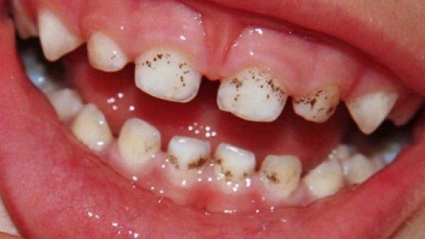
В Кыргызстане более 90% детей страдают кариесом, - Минздрав

Полный доступ к архивам АКИpress (общественно-политические новости, культура, происшествия и спорт, а также новости стран ЦА)

1 новость950 сомКупить
год15000 сомподписаться?
Данные тарифы действуют только для частных лиц.
Если вам необходим корпоративный доступ к материалам (для организаций, госорганов, ведомств и т.д), пожалуйста, свяжитесь с нами по почте info@akipress.org

Самое важное – на канале АКИpress в YouTube. Подпишись!

Комментарии
Медики предупредили об опасности неправильных уколов В Кыргызстане оценили уровень комплаентности у пациентов с акне и розацеа Нужно ли делать прививку КПК, если ребенок переболел корью? Ответ врачей Пассивное курение опасно для здоровья окружающих, - специалисты Кардиохирург рассказал, после каких симптомов нужно срочно обращаться к врачу Почему молодые люди сталкиваются с сердечно-сосудистыми заболеваниями? Пояснение кардиохирурга Как оставаться активным при сидячей работе? Рекомендации
×